氟斑牙是过多的氟在牙发育矿化期进入机体,使牙齿着色的一种牙齿疾病,也叫氟牙症。表现为牙釉质发育不全,牙齿着色。那么怎么治疗儿童氟斑牙呢?下面看爱康健齿科医师的介绍。...
氟斑牙是过多的氟在牙发育矿化期进入机体,使牙齿着色的一种牙齿疾病,也叫氟牙症。表现为牙釉质发育不全,牙齿着色。那么怎么治疗儿童氟斑牙呢?下面看爱康健齿科医师的介绍。
怎么治疗儿童氟斑牙?
患氟斑牙的人通常在7-8岁前在高氟区生活过,这些孩子即使以后迁居非高氟区,由于牙齿的钙化障碍已经形成,恒牙萌出后仍可出现氟斑牙表现。如果孩子7-8岁以后再迁入高氟区,牙齿可能完全没有氟斑牙的表现。
氟斑牙多发生于恒牙,因为乳牙釉质形成和钙化,大多在胚胎和哺乳期,而胎盘对氟有一定限制作用,但如果氟摄入量过多,超过其限量程度仍可导致乳牙氟斑牙。对氟斑牙来说较重要的还是预防。较根本的预防办法是改良水源,降低饮水中氟的含量。除饮水之外,大气中环境氟化物的污染及含氟量过高的食品等也应加以治理。

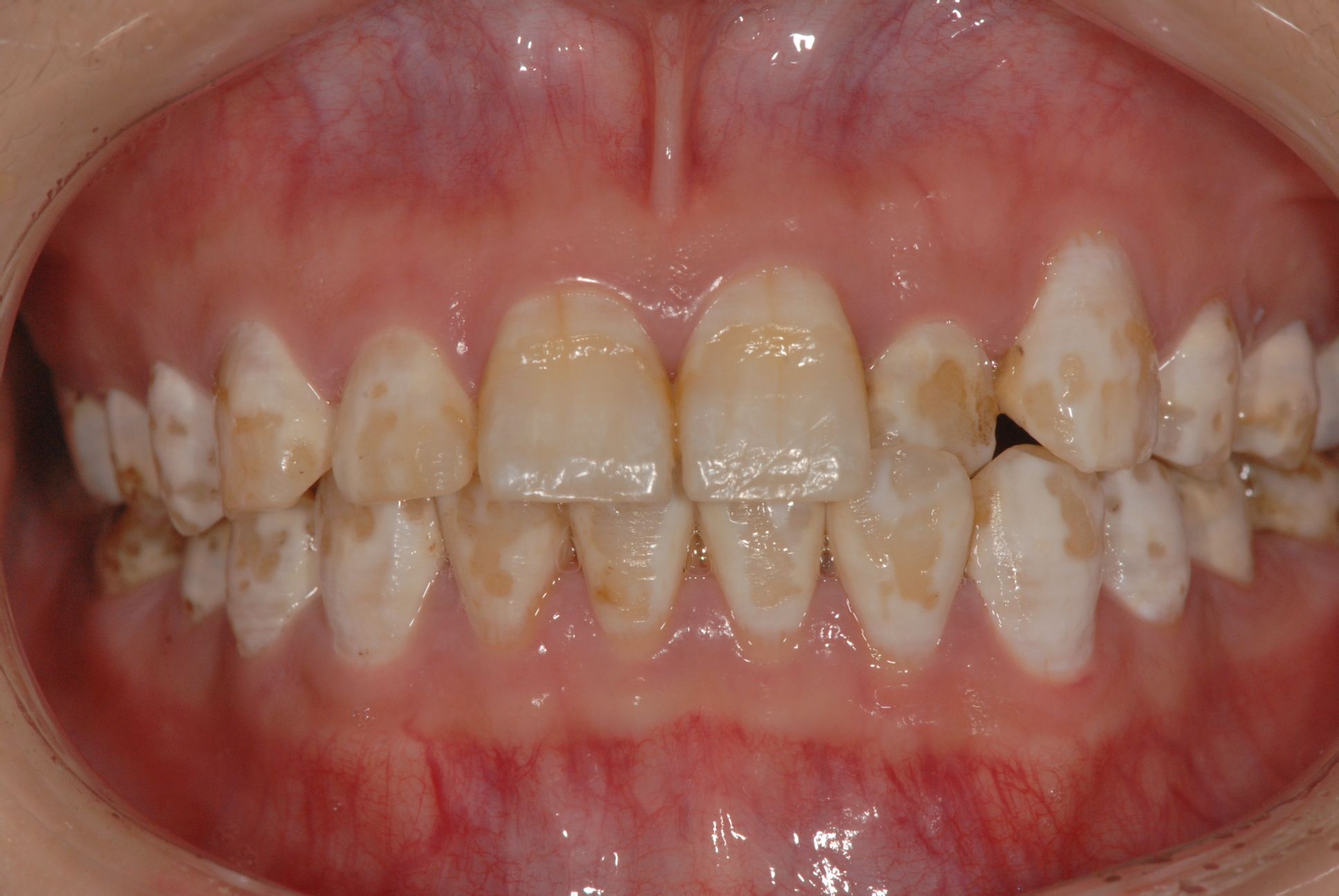
氟斑牙是慢性地方性氟中毒较敏感而突出的症状,其临床表现主要为白垩、着色、缺损。氟斑牙的棕黄色着色和不规则的釉质缺损不但影响美观,而且对患者造成了心理上的负担,因此,有效地去除氟斑牙表面着色,改善牙齿的外观,同时又要尽可能地保存牙体组织是氟斑牙治疗方面急需解决的问题。
目前,较的氟斑牙美白方法是蓝光美白。
美国蓝光美白是较新的美国牙齿美白技术,结合智能激活能量美牙理念,是好莱坞明星及政商要员及高端人士的美白,在欧美,已有超过4百万人用蓝光美白技术美白牙齿,被称为效果较好的午休美容项目,美白效果直接更持久,并迅速在日韩、中国普及,能有效地抑制牙菌斑的形成及激活牙体组织,它的优势在于无刺激、保护牙齿,美白效果持久。
蓝光美白四大优势:
1、高效快速,一小时健康白
蓝光美白技术通过氧化剂过氧化氢中的小分子,穿过牙釉质和牙本质渗透到牙齿的所有部分,在釉小柱间移动,分解清除牙变色的色素分子。不改变牙齿结构的情况下,15分钟就能产生美白作用。蓝光美白将牙齿色泽分成29个色系,大大提高了牙齿美白精度,美白立竿见影,一小时就拥有洁白的牙齿。

2、坚固牙齿,让牙齿更健康
过氧化剂美白牙齿,氟化剂保护牙齿。氟化剂作用封闭牙本质小管,防止治疗过程中外力对牙齿的意外伤害,促使牙釉质新生,让美白后的牙齿“牢牢扎根”,美白后更坚固,防龋健齿。让牙釉质硬度增加,形成保护,使得原本不健康的牙齿经过美白后更加健康、自然、充满活力。
3、舒适,轻松靓白牙齿
牙髓中有许多神经血管,传统美白方法的漂白剂和光照都会使牙齿脱水,脱水造成牙齿敏感(发酸、怕凉)和疼痛,严重的可能会引起牙龈部分毛细血管充血、肿胀。蓝光美白技术中的硝酸钾,可防止神经细胞在疼痛中去化的复来止痛。对牙龈牙体均无伤害,缩短治疗时间,减少张口时长,舒适,在轻松的音乐中完成。
4、效果持久,绽放自信微笑
在蓝光美白技术的美白加保护的原理下,氟化剂促使牙釉质新生而形成对牙齿的保护,能使过氧化剂的美白作用更明显,美白后的牙齿也能得到更有效的保护。只要美白后的顾客,不刻意去使用对牙齿有损害的物品或食物伤害,美白效果可持续3-5年。拥有洁白整齐牙齿,绽放自信微笑。
温馨提示:以上就是关于怎么治疗儿童氟斑牙的介绍,如有其他疑问,可点击在线咨询。
上一篇:牙上的烟渍如何去掉
下一篇:成年人更易长氟斑牙吗?